13 de janeiro 2020

Porto

21:00 às 23:00

Hotel Crowne Plaza Porto

A data limite para a inscrição foi atingida.

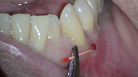
Diagnóstico em endodontia

O diagnóstico é o primeiro desafio com que o clínico se depara ao receber um paciente. Em endodontia, este é frequentemente um difícil desígnio, e é frequentemente necessário o recurso a diferentes testes e exames complementares para esclarecer pontos menos evidentes da história clínica. A importância de diagnosticar corretamente a situação é evidenciada pela sua influência decisiva na escolha da opção terapêutica.

Urgências em endodontia

Grande parte das situações de urgência com que nos deparamos no quotidiano da nossa atuação clínica enquadra-se na área da endodontia. As situações de dor alteram, por vezes dramaticamente, o bem-estar do doente, perturbando o seu dia-a-dia.

Assim, muitos primeiros contactos com o doente são estabelecidos nestas circunstâncias difíceis, e que se revestem de uma dupla dificuldade, pois não só é num estado de espírito simultaneamente sensível e desconfiado que temos que estabelecer a relação médico-doente, como também é nesta situação que temos que diagnosticar a entidade nosológica, e tratar o doente que precisa de alívio, ultrapassando as dificuldades que podem surgir em todos os passos do tratamento.

Curso ministrado por

António Ginjeira

  • Professor Associado com agregação e Regente das disciplinas de Endodontia e Clínicas de Endodontia I e II
  • Diretor dos programas de pós-graduação em Endodontia na FMDUL
  • Responsável pela introdução do microscópio cirúrgico e das técnicas microcirúrgicas em endodontia e na medicina dentária em Portugal, em 1995
  • Representante de Portugal na Sociedade Europeia de Endodontologia (ESE)
  • Presidente da Sociedade Portuguesa de Endodontologia
  • Autor de vários capítulos de livros e cerca de 60 trabalhos publicados em revistas e jornais da área da saúde e engenharia
  • Cursos e conferências em Portugal, Brasil, Angola, África do Sul, Alemanha, Espanha, França, Itália, Suécia, Suíça, Coreia do Sul, Japão e Macau
Ordem dos Médicos Dentistas
Visão Geral da Privacidade

Este website utiliza cookies para que possamos proporcionar-lhe a melhor experiência de utilização possível. A informação dos cookies é armazenada no seu navegador e desempenha funções como reconhecê-lo quando regressa ao nosso website e ajudar a nossa equipa a compreender quais as secções do website que considera mais interessantes e úteis.