5 de novembro 2021

Braga

14:30 às 18:00

Altice Forum Braga

Inscrição na formação encerrada.

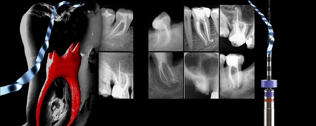
Abordagem de canais curvos mediante a instrumentação com tecnologia NiTi de ultima geração. Sistema RACE EVO®.

Patrocinador Científico

Curso ministrado por

José Costa Gouveia

  • Médico Dentista – Prática exclusiva em Endodontia e Microcirurgia Endodôntica.
  • Mestrado Integrado em Medicina Dentária pelo ISCSEM (2010).
  • Pós-graduação em Endodontia, pela Faculdade Medicina Dentária da Universidade de Lisboa (2015).
  • Colaborador externo da especialização/ pós-graduação da Faculdade de Medicina Dentária da Universidade de Lisboa.
  • Membro formador nos cursos HandsOnEndo:
    • Curso Endodontia Para Médicos Generalistas
    • Curso Avançado de Endodontia Microscópica).
  • Palestrante na área da Endodontia em cursos e congressos/meetings nacionais:
    • 26th Portugal Dental Association Anual Meeting ( 2017)
    • II Simpósio Anual de Estudantes de Medicina Dentária (SAEMD/ PDSAIAM) ( 2019)
    • Pós Graduação em Endodontia do IUCS CESPU ( 2017, 2018, 2019 )
  • Membro da European Society of Endodontology.
  • Membro da Sociedade Portuguesa de Endodontologia.
Congresso da OMD 2021
Privacy Overview

This website uses cookies so that we can provide you with the best user experience possible. Cookie information is stored in your browser and performs functions such as recognising you when you return to our website and helping our team to understand which sections of the website you find most interesting and useful.