13 de janeiro 2020

Lisboa

21:00 às 23:00

Vip Executive Entrecampos

A data limite para a inscrição foi atingida.

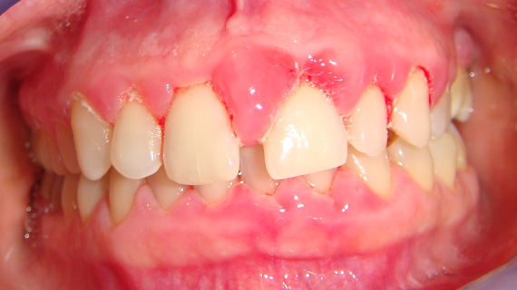
A terapia periodontal não cirúrgica assume a primeira linha de tratamento na abordagem da doença periodontal.

Apresentando-se como uma forma de tratamento relativamente simples e pouco invasiva é, numa grande percentagem de casos, suficiente para limitar a progressão da doença, assumindo, desta forma, uma importância determinante no controlo dos nichos bacterianos e, consequentemente, na progressão da patologia.

Serão abordadas as técnicas, o material utilizado e os timings biológicos para aquele que é o primeiro (e, muitas vezes, único) passo para o restabelecimento da saúde periodontal do paciente que faz, atualmente, parte dos 50% dos adultos periodontalmente comprometidos.

Curso ministrado por

Cátia Íris Gonçalves

  • Licenciatura em Medicina Dentária pelo ISCS-N, 2000
  • Mestre em Periodontologia pela FMDUP, 2007
  • Especialista em Periodontologia pela OMD, 2017
  • Prática clínica exclusiva em periodontologia desde 2007
  • Autora de palestras nacionais
  • Coordenação e colaboração em cursos pós-graduados nacionais
Ordem dos Médicos Dentistas
Visão Geral da Privacidade

Este website utiliza cookies para que possamos proporcionar-lhe a melhor experiência de utilização possível. A informação dos cookies é armazenada no seu navegador e desempenha funções como reconhecê-lo quando regressa ao nosso website e ajudar a nossa equipa a compreender quais as secções do website que considera mais interessantes e úteis.