10 de julho 2021

Streaming

09:30 às 13:00

Site OMD

A data limite para a inscrição foi atingida.

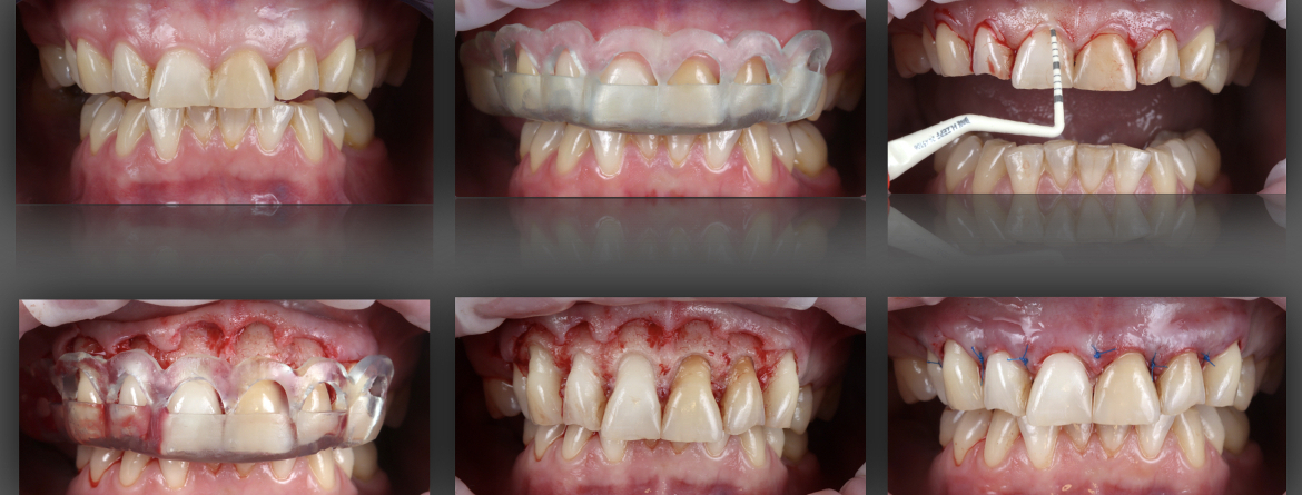
As ferramentas digitais popularizaram-se na última década e as suas aplicações continuam a multiplicar-se em medicina dentária. A abordagem cirúrgica do sorriso gengival requer a avaliação de múltiplos parâmetros estéticos, biológicos e proféticos. A utilização de softwares abertos veio tornar esta tarefa mais simples, visual e apelativa, apresentando também uma forte componente didática para colegas menos experientes com este tipo de planeamento. Neste curso abordar-se-ão as bases que permitem o planeamento digital em casos deste tipo, assim como possíveis dispositivos que guiem esses procedimentos.

Inscrição no curso

Para participar neste curso, deve realizar a inscrição conjunta nos quatro módulos de reabilitação oral. Os cursos teóricos decorrem em simultâneo para todos os inscritos. Já os cursos hands-on, limitados a 25 participantes, realizam-se em quatro datas distintas.

Efetue a inscrição de acordo com a data pretendida para o curso hands-on:

Os cursos teóricos decorrem às 21h30 às 23h00. Os cursos hands-on decorrem das 09h30 às 13h00.

Curso ministrado por

João Falcão

  • Licenciado pelo ISCSEM em Medicina Dentária (2005)
  • Pós-graduado em Implantes pelo CEOSA, Madrid (2006)
  • Título “Academic Expert” em Ciências Dentárias Avançadas de Oclusão pela Universidade de Danube, Kre
  • Mestrado em Medicina Dentária pelo ISCSEM (2012)
  • Docente pós-graduação Reabilitação Oral Biomimética Avançada CESPU (2015 – presente)
  • Docente pós-graduação Medicina Dentária Digital – Digital4all (Egas Moniz, 2019-2020)
  • Palestrante na área da oclusão e reabilitação oral em diversos cursos e reuniões científicas
Ordem dos Médicos Dentistas
Visão Geral da Privacidade

Este website utiliza cookies para que possamos proporcionar-lhe a melhor experiência de utilização possível. A informação dos cookies é armazenada no seu navegador e desempenha funções como reconhecê-lo quando regressa ao nosso website e ajudar a nossa equipa a compreender quais as secções do website que considera mais interessantes e úteis.