2 de fevereiro 2019

Ponta Delgada

09:00 às 18:00

Hotel Marina Atlântico

A data limite para a inscrição foi atingida.

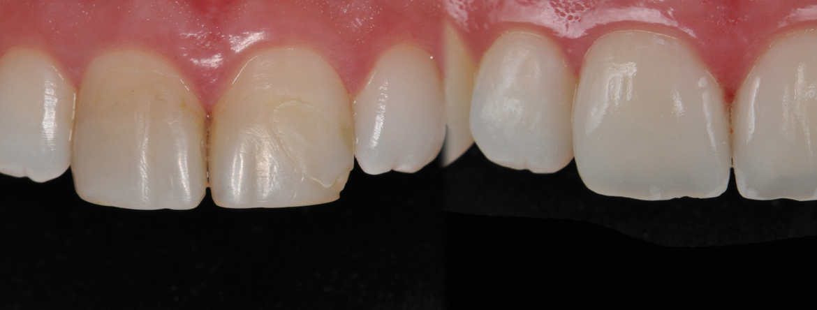
Enquanto as técnicas e materiais adesivos se movem em direção à simplificação, as suas indicações têm sido significativamente ampliadas.

Às vezes, temos dúvidas sobre o tratamento ideal para um caso particular: devemos optar por reabilitação direta ou indireta? Esta decisão é multifatorial, assim como a escolha do material a ser utilizado na reabilitação.

Na dentisteria directa são muitos os materiais e técnicas que nos podem proporcionar um resultado restaurador adequado nos dentes anteriores e posteriores. Desde as diferentes resinas compostas, adesivos, técnicas, passo a passo clínico, polimento e acabamento, todos estes itens serão discutidos ao detalhe nesta conferência.

Na reabilitação indireta, podemos usar diferentes materiais, dependendo da seleção do caso, do paciente, da função e dos requisitos estéticos. Neste campo, a tecnologia CAD / CAM e os materiais disponíveis para a reabilitação adesiva tiveram um grande avanço nos últimos anos. Seleccionados e aderidos adequadamente, permitem nos preservar grande parte do tecido dentário remanescente, evitando procedimentos mais destrutivos para a estrutura dentária.

Por outro lado, numa reabilitação indireta a comunicação entre clínico, paciente e ceramista é fundamental, a fim de otimizar as expectativas e o resultado final.

Para isso, é fundamental seguir um protocolo de trabalho que passa por diferentes fases, tais como: planeamento, enceramento, mock-up, preparação dentária guiada, comunicação com o laboratório, impressões, restaurações provisórias, adesão e manutenção das restaurações.

Nesta conferência será mostrado e discutido o fluxo de trabalho clínico e laboratorial passo a passo na dentisteria adesiva contemporânea.

Curso ministrado por

Paulo Cardoso Monteiro

  • Licenciado em Medicina Dentária pelo Instituto Superior de Ciências da Saúde Sul
  • Pós-Graduado em Dentisteria Restauradora e Estética pelo Instituto Superior de Ciências da Saúde Egas Moniz
  • Mestre em Medicina Dentária pelo Instituto Superior de Ciências das Saúde Egas Moniz
  • Coordenador e Docente da PG Internacional em Dentisteria Adesiva Minimamente Invasiva da Egas Moniz
  • Autor e Co-autor de publicações clínicas e científicas em jornais nacionais e internacionais
  • Chairman Português na European Society of Cosmetic Dentistry
  • Board Member da European Society of Cosmetic Dentistry
  • Prática clínica exclusiva em Dentisteria Restauradora Estética
Ordem dos Médicos Dentistas
Visão Geral da Privacidade

Este website utiliza cookies para que possamos proporcionar-lhe a melhor experiência de utilização possível. A informação dos cookies é armazenada no seu navegador e desempenha funções como reconhecê-lo quando regressa ao nosso website e ajudar a nossa equipa a compreender quais as secções do website que considera mais interessantes e úteis.