Vídeo > Casos clínicos > Prótese Fixa
Objetivo
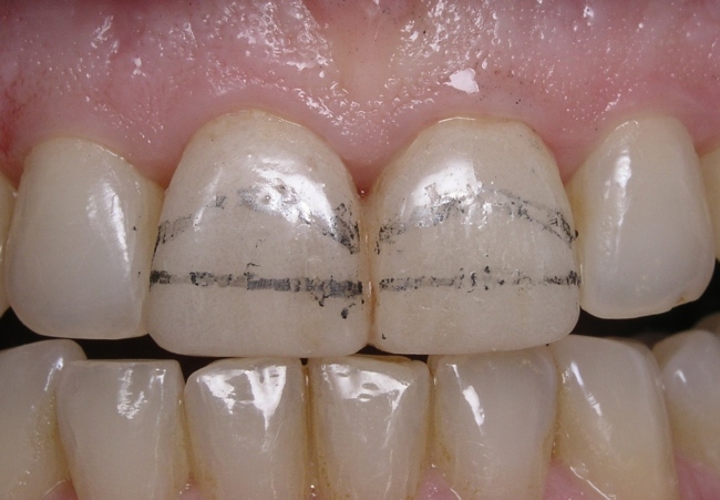
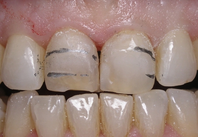
Realização de provisório e do preparo de dentes para facetas
Apresentação
É realizada uma muralha de silicone sobre o wax-up que por sua vez serve para obter as facetas provisórias em acrílico. Seguidamente esses provisórios irão orientar a profundidade de desgaste para a preparação dentária definitiva. O suporte científico é constituído pelo o livro Restaurações Adesivas de Porcelana na dentição anterior – Pascal Magne – Urs Belser e por artigos do mesmo autor sobre o tema.
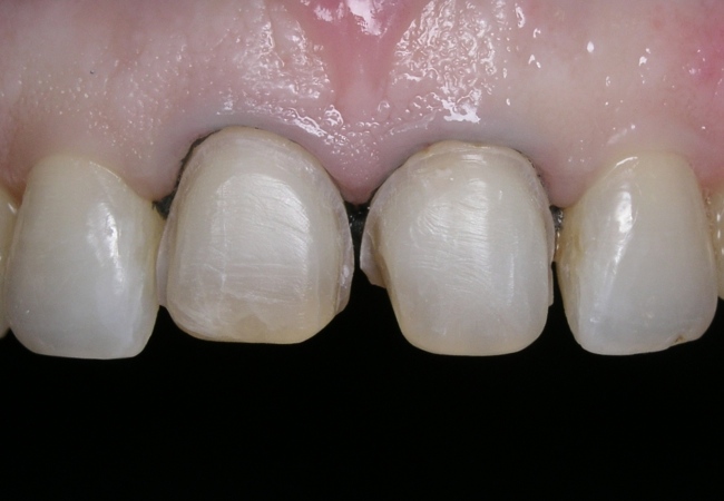
Resultados
Obtem-se uma restauração muito conservadora do tecido dentário, sendo por isso minimamente invasiva, com alto nível de estética, respeitadora dos tecidos gengivais, com excelente prognóstico
Discussão
Comparando com as alternativas restauradoras disponíveis a realização de facetas é uma opção com várias vantagens. As coroas totais obrigam a um sacrifício de esmalte e dentina muito superior, muitas vezes implicando tratamento endodontico. Se adicionalmente se utilizar espigões radiculares o risco de haver uma fratura castastrófica que obriga à extração do dente é consideravelmente alto no caso de coroas tradicionais.
Conclusão
Por todas as vantagens que possuem sobre as coroas tradicionais a opção terapêutica de facetas deveria ser muito mais utilizada.





