Resumo do curso
A periodontite é uma doença multifatorial, de etiologia bacteriana, que leva à destruição dos tecidos de suporte dos dentes, originando sequelas a nível estético e funcional. O tratamento periodontal visa, fundamentalmente, eliminar o fator etiológico, a placa bacteriana.
O resultado do tratamento periodontal convencional é a reparação dos tecidos perdidos através da formação de uma nova inserção. Por outro lado, as técnicas de regeneração periodontal, permitem a formação dos tecidos periodontais perdidos, mantendo a sua forma e função.
Durante o curso modular pretende-se discutir os princípios biológicos de Regeneração Periodontal, apresentar, através de casos clínicos, os distintos procedimentos, técnicas e materiais utilizados, bem como as complicações e limitações da sua aplicação em Periodontologia.
Susana Noronha

- Licenciatura em Medicina Dentária
- Mestrado em Periodontologia pela Faculdade de Odontologia da Universidade Complutense de Madrid
- Aluna de Doutoramento da Universidade Complutense de Madrid
- Assistente de carreira da disciplina de Periodontologia na Faculdade de Medicina Dentária da Universidade de Lisboa
- Vice-coordenadora do programa de Mestrado em Periodontologia da Faculdade de Medicina Dentária da Universidade de Lisboa
- Membro do International College of Dentists (ICD)
- Speaker do International team for Implantology (ITI)
- Prática clínica exclusiva em Periodontologia e Implantes
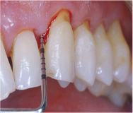
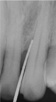
Fotos dos casos clínicos

