O recurso a prótese removível convencional é evitado muitas vezes por parte dos pacientes por receio de ser um tratamento desconfortável, inestético e pouco duradouro. Com o surgimento dos implantes dentários, foi possível restabelecer o equilíbrio perdido no sistema estomatognático de um modo semelhante ao dentes naturais.
Em algumas situações, por razões biológicas ou económicas, não é possível uma reabilitação fixa apenas com recurso a prótese fixa implanto-suportada. A combinação de prótese fixa com prótese removível permite por vezes resultados mais satisfatórios para o paciente e para o clínico. Sendo estes mais estáveis a longo prazo e com menos consequências biológicas para os dentes pilares ou para os tecidos de suporte remanescentes do que uma reabilitação com uma prótese removível convencional.
A prótese parcial removível pode ser combinada com Prótese Fixa sobre dentes ou sobre implantes. Para bons resultados a longo prazo é essencial: a seleção dos dentes pilares, o tipo de attachments e a inserção de implantes nos locais mais estratégicos do ponto vista biomecânico.
Este curso irá abordar de um modo sistemático os passos para uma reabilitação com prótese combinada, tentando fornecer os conhecimentos necessários para a seleção dos pilares protéticos e dos materiais mais adequados para a reabilitação de cada caso clínico.
Pedro Nicolau

- Licenciado em Medicina Dentária pela Faculdade de Medicina da Universidade de Coimbra em 1991
- Pós-graduação em prostodontia pelo Instituto Pankey em 1998 (EUA)
- Doutorado em Medicina Dentária pela Faculdade de Medicina da Universidade de Coimbra em 2008
- Professor Auxiliar da Área da Medicina Dentária da Faculdade de Medicina da Universidade de Coimbra
- Regente da Disciplina de Prostodontia Removível I e II da FMUC
- Docente do Curso de Pós-graduação em Reabilitação Oral Protética da FMUC
- Investigador do Centro de Engenharia Mecânica da Universidade de Coimbra
- Conferencista em diversos cursos e Autor e Coautor de publicações em implantologia e prostodontia
Nuno Calha

- Licenciado pela Faculdade de Medicina Dentária da Universidade de Coimbra em 2008
- Pós-graduação em Reabilitação Oral e Protética na Faculdade de Medicina da Universidade de Coimbra
- Assistente Convidado das Disciplinas Prótese Removível I e II desde 2011
- Investigador em vários projetos na área da Implantologia e de prótese removível efetuados na UC
- Coautor de vários trabalhos científicos apresentados em congressos nacionais e internacionais
- Membro da Sociedade Portuguesa de Estomatologia e Medicina Dentária- SPEMD
- Membro da International Team for Implantology- ITI
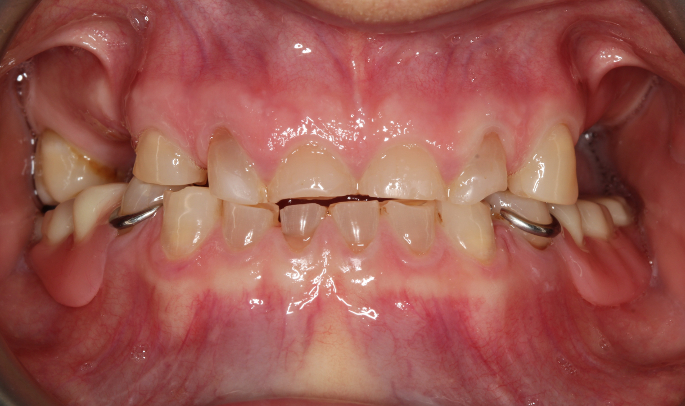
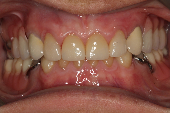
Fotos dos casos clínicos


