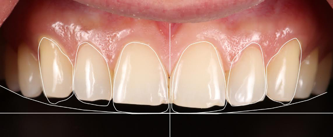
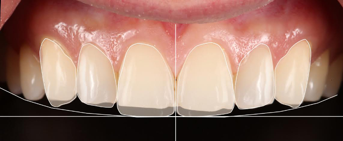
Tendo em consideração que um dos aspetos fundamentais no diagnóstico e plano de tratamento é a comunicação com o paciente, o DSD, a par de técnicas tradicionais de ensaio estético, tem assumido um papel relevante como ferramenta no desenho de um sorriso.
A possibilidade de, através de uma maquete digital, projetar-se o resultado final, de uma forma relativamente aproximada e rápida, contribui de um modo positivo para a aceitação do plano de tratamento proposto.
Nesta apresentação far-se-á uma descrição ilustrativa do conceito Digital Smile Desing, a par de uma revisão da literatura focalizada nas respectivas indicações, limitações, vantagens e desvantagens.
João Ascenso
- Licenciado em Medicina Dentária pela FMDUL em 2005
- Prática clínica exclusiva no Inst. de Implantologia®, em Dentisteria e Reabilitação oral desde 2005
- Diploma Universitário em Odontologia Estética pela Univ. Complutense de Madrid – 2009
- Curso de Dor Orofacial e Disfunção temporomandibular – Prof. Okeson, Kentucky – USA – 2010
- Curso de Facetas em Cerâmica – Prof. Pascal Magne e Michel Magne, San Francisco – USA – 2011
- Diploma Universitário em Odontologia Estética Avançada pela Univ. Complutense de Madrid – 2012
- Curso de DSD (digital smile design) – Dr Christian Coachman, Madrid -2013
- Curso de Facetas em Cerâmica – Dr Galip Gurel, Istambul – Turquia – 2014
INICIAR INSCRIÇÃO ONLINE NAS JORNADAS DA PRIMAVERA 2016
Fotos dos casos clínicos

