Resumo do curso
Durante anos, tornou-se evidente que a complexa área da reabilitação oral em prostodontia fixa necessitaria da otimização de diversas variáveis de forma a obter sucesso.
Estas incluem em primeiro instância um correto diagnóstico e plano de tratamento, mas também uma correta seleção do material e design da restauração; o conhecimento e avaliação biológica da interação entre coroas/próteses e tecidos moles; uma cuidada e controlada abordagem multidisciplinar entre várias especialidades de maneira a alcançar as expectativas do paciente e um adequado controlo pós-tratamento.
A base científica para as decisões clínicas, em prostodontia, baseia-se no conhecimento do prognóstico do tratamento. Esta apresentação irá abordar e discutir diferentes fatores-chave no planeamento e realização de reabilitações em prostodontia fixa sobre dentes e implantes, tais como seleção material, posições de reabilitação (intercuspidação máxima/relação cêntrica), seleção de esquemas oclusais de reabilitação e registos intermaxilares entre outros. Da identificação dos problemas, passando pela seleção da melhor restauração provisória até à restauração definitiva; limitações, vantagens e desvantagens de diferentes materiais e opções serão discutidos.
José Fausto Carracho

- Médico dentista (FMDUL, 1999)
- Pós-graduação e especialização em Prostodontia (School of Dentistry, Univ. of Michigan – EUA, 2005)
- Mestrado em Prostodontia (School of Dentistry, Univ. of Michigan – EUA, 2005)
- Doutorado em Reabilitação Oral (FMDUL, 2011)
- Professor auxiliar da FMDUL, coordenador do Programa da Especialização de Prostodontia da FMDUL
- Prática clínica exclusiva em Prostodontia e Implantologia no Instituto de Reabilitação Oral
▸ INICIAR A INSCRIÇÃO ONLINE NO CURSO TEÓRICO (PONTA DELGADA)
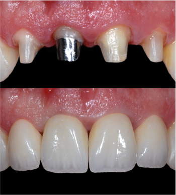
Fotos de casos clínicos


