O tratamento periodontal cirúrgico tem com principal objetivo contribuir para a preservação a longo prazo do periodonto uma vez que facilita a remoção da placa bacteriana e o controlo da infeção.
Tal objetivo é alcançado através da criação de acesso para um adequado desbridamento mecânico pelo clínico e do estabelecimento de uma morfologia gengival que facilita o controlo da infeção pelo próprio paciente.
Os avanços no conhecimento sobre a biologia da cicatrização dos tecidos elevou tratamento periodontal cirúrgico para um patamar de excelência onde o objetivo poderá ser a regeneração da inserção periodontal perdida pela evolução da doença.
Estas técnicas, porém, são bastante sensíveis, estão dependentes de um correto diagnóstico e avaliação de fatores relacionados com o paciente, locais e sistémicos, bem como com da morfologia do defeito em questão, estando por isso muitas vezes associadas a um fracasso clínico ou um sucesso incompleto.
Tendo em conta as diversas técnicas cirúrgicas, ressetivas e regeneradoras para o tratamento de doentes periodontalmente comprometidos atualmente existentes, esta apresentação tem como objetivo sistematizar, através da apresentação de uma série de casos clínicos, as principais indicações, vantagens e desvantagens de cada tipo de abordagem cirúrgica, de forma a otimizar os resultados clínicos do tratamento selecionado.
João Branco
- Licenciado em Medicina Dentária pelo ISCSEM
- Especialização em Periodontologia e Implantes pela FMDUL
- Assistente convidado da Especialização de Periodontologia da FMDUL
- Prática clínica exclusiva em Periodontologia e Implantes
INICIAR INSCRIÇÃO ONLINE NAS JORNADAS DA PRIMAVERA 2016
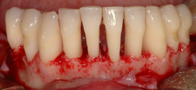
Fotos dos casos clínicos

