Resumo
O bruxismo é uma parafunção identificada em quase 20% da população adulta mundial. Assim, porque continuam muitos dos nossos pacientes não-diagnosticados? Não saberemos diagnosticar? Falta-nos informação/instrumentos de diagnóstico? São os pacientes que rejeitam o diagnóstico? Quais os receios e implicações inerentes ao diagnóstico? Um paciente bruxómano não pode ser reabilitado? Qual o motivo porque os pacientes bruxómanos são a principal causa de insucesso das reabilitações? Qual a conduta clínica na reabilitação do paciente bruxómano?
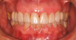
O bruxismo é uma das causas mais determinantes do desgaste dentário patológico e da qual os pacientes geralmente não têm consciência. É uma parafunção caracterizada por aperto ou atrição/abrasão entre os dentes culminando em desgaste dentário patológico.
Estes movimentos parafuncionais podem ocorrer durante o dia e/ou durante a noite (a dormir), sendo este último o mais perigoso, uma vez que os mecanismos sensoriais de alerta/defesa estão ausentes.
Neste curso procuraremos abordar noções de diagnóstico do bruxismo (abordagem bio-psico-social), plano de tratamento (técnicas, materiais, timmings), terapia inicial (desprogramação neuro-muscular, recuperação DVO, tradução para a reabilitação), reabilitação provisória (transferência para a definitiva), reabilitação definitiva (materiais, técnicas transferência informação laboratório) e protocolo de manutenção.
Suportadas por casos clínicos, serão abordadas reabilitações integradas e multidisciplicares com recurso a prótese removível, prótese fixa (dento-suportada e implanto-suportada) e dentistaria operatória.
Pedro Nicolau
- Licenciado e Doutorado em Medicina Dentária da pela Faculdade de Medicina da Universidade de Coimbra (FMUC)
- Professor Auxiliar do Departamento de Medicina Dentária da FMUC
- Regente da Disciplina de Prostodoncia Removível e Docente do Curso de Pós-graduação em Reabilitação Oral Protética da FMUC
- Conferencista em diversos cursos de implantologia e prostodoncia
- Autor e Co-autor de publicações nacionais e internacionais nas áreas da implantologia e prostodoncia
Ricardo Dias
- Licenciatura em Medicina Dentária em 2006
- Pós-Graduado em Reabilitação Oral Protética pela Faculdade de Medicina da Universidade de Coimbra
- Aluno de Doutoramento em Ciências da Saúde, ramo Medicina Dentária, da Faculdade de Medicina da Universidade de Coimbra
- Assistente Convidado da disciplina de Prótese Fixa do Mestrado Integrado em Medicina Dentária da Faculdade de Medicina da Universidade de Coimbra
- Curso de Formação Contínua em Implantologia em 2007
- ITI Member
- Autor e Co-autor de vários trabalhos científicos apresentados em Congressos Nacionais e Internacionais
Monofolha de apresentação do curso (pdf, 225kb)
| Patrocinador oficial | Patrocinadores | |
![]() |
![]() |


