A má colusão em dentição mista é uma patologia muito frequente na população da faixa etária dos 6 aos 12 anos, sendo o seu diagnóstico e tratamento fundamental para o correto desenvolvimento dento-maxilo-facial.
A prevenção, interceção e/ou correção dos problemas ortodônticos, através de vários tipos de aparelhos ortopédicos ou da simples intervenção clínica, permite ao ortodontista alterar ou reorientar o crescimento dos maxilares do ponto de vista transversal, vertical e horizontal, favorecendo o bom desenvolvimento da dentição definitiva. Desta forma, serão evitados problemas ortodônticos mais severos em idade adolescente ou adulta, permitindo nessa fase uma correção ortodôntica mais simples, com melhor prognóstico e maior estabilidade.
A apresentação abordará o diagnóstico e respetivo plano de tratamento das situações clínicas mais frequentes, tais como as mordidas cruzadas, mordidas abertas, discrepâncias dento-maxilares, classe II e classe III.
Duarte Senra

- Médico Dentista, licenciado pela Faculdade de Medicina da Universidade de Coimbra em 2000
- Pós-graduado em Ortodontia pela Faculdade de Medicina da Universidade de Coimbra em 2004
- Especialista em Ortodontia pela OMD em 2012
INICIAR INSCRIÇÃO ONLINE NAS JORNADAS DA PRIMAVERA 2016
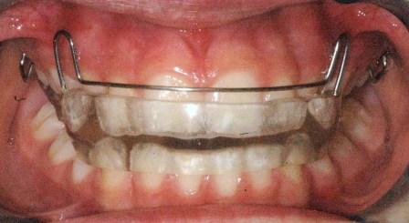
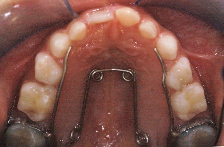
Fotos dos casos clínicos


