30 de março 2013

10:00 às 11:00

A data limite para a inscrição foi atingida.

Resumo

Apesar das medidas de prevenção da cárie tentarem impedir a perda dentária prematura, a realidade é que estas situações continuam a ocorrer e têm grande relevância no desenvolvimento da oclusão.

Inclusivamente a sequência de erupção pode ser também afectada pela extracção prematura de dentes temporários. Os tratamentos pulpares e de operatória dentária, encaminhados à conservação dos dentes temporários, são fundamentais para a manutenção da saúde oral e para a prevenção de maloclusões.

No entanto, não nos podemos esquecer da proximidade dos gérmens dos dentes permanentes com os dentes temporários e que, quando a cárie já avançou demasiado, os tratamentos com prognóstico duvidoso podem não estar indicados, já que representariam um risco para o gérmen em desenvolvimento.

Nestes casos, ou quando um tratamento anteriormente realizado fracassou, pode estar indicada a extracção do dente temporário para evitar complicações maiores.

A perda prematura de dentes temporários e o fracasso na manutenção do seu espaço durante o crescimento e desenvolvimento normal pode colocar em perigo a existência de uma normoclusão na dentição permanente.

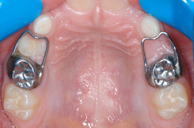
20130330a-casoA melhor forma de prevenir a perda de espaço é mediante a utilização de mantenedores de espaço, o que pode prevenir ou diminuir o aparecimento de maloclusão.

Na literatura científica encontramos numerosas referências sobre indicações, contra-indicações, desenho, controlo e pautas de seguimento dos mantenedores de espaço para que estes realizem a sua função mas sem interferir no crescimento e desenvolvimento da oclusão.

Nesta apresentação serão realçadas as indicações dos mantenedores de espaço, bem como os vários tipos de dispositivos disponíveis.

 

 

200x200-cristina-cardoso-silvaCristina Cardoso Silva

  • Médica dentista, licenciada pelo Instituto Superior de Ciências da Saúde – Norte – 2003
  • Master em Odontopediatria pela Universidade Complutense de Madrid – 2007
  • Master em Ciências Odontológicas pela Universidade Complutense de Madrid – 2009
  • Doutorada pela Universidade Complutense de Madrid – 2010
  • Professora auxiliar convidada de Odontopediatria na FMDUP
  • Autora de diversas apresentações orais e publicações em revistas nacionais e internacionais na área da Odontopediatria
Curso ministrado por

Cristina Cardoso Silva

Ordem dos Médicos Dentistas
Visão Geral da Privacidade

Este website utiliza cookies para que possamos proporcionar-lhe a melhor experiência de utilização possível. A informação dos cookies é armazenada no seu navegador e desempenha funções como reconhecê-lo quando regressa ao nosso website e ajudar a nossa equipa a compreender quais as secções do website que considera mais interessantes e úteis.