Resumo do curso
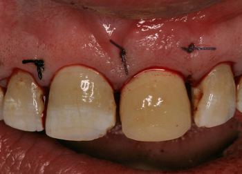
A perda de um dente de forma inesperada é sempre uma situação traumática para o paciente. No setor anterior, imediatamente após a extração, a colocação de um implante dentário reabilitado com carga imediata permite a recuperação quase imediata do dente perdido. No entanto, este tipo de procedimento obedece a alguns protocolos que devem ser respeitados para evitar complicações que podem comprometer ou dificultar a reabilitação do espaço desdentado.
Nesta apresentação, o autor pretende sistematizar o protocolo cirúrgico e protético utilizado na reabilitação com implantes imediatos, documentado com vários casos clínicos. Serão discutidas à luz da evidência científica a previsibilidade deste tratamento, as suas complicações, abordagens regenerativas e considerações protéticas.
Salomão Rocha
- Licenciatura em Medicina Dentária, pela Faculdade de Medicina da Universidade de Coimbra – 1999
- Doutorado na especialidade de Prótese Dentária e Oclusão pela FMUC – 2015
- Pós-graduado em Reabilitação Oral Protética pela F.M.U.C. – 2004
- Assistente convidado de Prótese Fixa da Faculdade de Medicina da U.C., desde 2003
- Membro fundador da Sociedade Portuguesa de Estética Dentária
- Membro fundador da Sociedade Portuguesa de Implantologia e Osteointegração
Fotos de casos clínicos


