Resumo do curso
Nos dias de hoje, a oferta de soluções CAD/CAM é muito abrangente e, a cada ano, são-nos apresentadas novas tecnologias e opções.
A avaliação técnica da solução digital, ao nível da impressão intraoral, desenho de restaurações e respetiva produção, podem ser o fator de decisão mais importante na hora de optar.
O objetivo deste curso é oferecer aos alunos uma perspetiva alargada da reabilitação sobre implantes com CAD/CAM, revelando os processos de trabalho digital da cirurgia à restauração.
Os participantes poderão experimentar a impressão digital, desenho de uma coroa sobre implante, sua produção e acabamento.
Pedro Brito
- Médico dentista
- Licenciado em Medicina Dentária no Instituto Superior Ciências da Saúde – Norte
- Diploma em Implant Dentistry – Universidade de Gotenburgo
- Diploma de Estudos Avançados – Universidade de Barcelona
- Investigador em Engenharia Biomédica – Faculdade de Medicina – Universidade de Coimbra
- Docente do departamento de Medicina Dentária – Instituto Universitário Ciências da Saúde – CESPU
- Coordenador do Serviço Medicina Dentária da Casa de Saúde da Boavista
▸ INICIAR A INSCRIÇÃO ONLINE NO CURSO HANDS-ON CAD/CAM (PORTO)
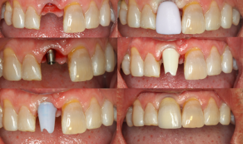
Fotos de casos clínicos

APOIO: 