Resumo
A utilização de métodos menos invasivos é, à partida, aliciante para toda a gente. Mas como temos uma tendência natural para oferecermos resistência à mudança, acabamos por repetir os gestos no passado porque não precisamos de novos utensílios, nem de novos materiais, nem de mudar protocolos.
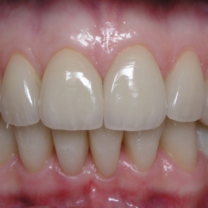
Assim, a opção por coroas totais, para restaurações mais ou menos extensas, acaba por ser a norma. Nem nos interrogamos se será a melhor opção. É o que toda a gente faz… E se mudarmos o “chip”? E se pensarmos que, no preparo de um dente para uma coroa total, por vezes, eliminamos o pouco que restava da coroa natural, ficando a raiz e pouco mais…
E se, alternativamente, escolhêssemos um tipo de restauração, que preservasse mais o remanescente do dente e em simultâneo, conseguisse conferir resistência e obtivessemos um resultado estético melhor do que uma coroa convencional nomeadamente pela transmissão da luz através do dente e da gengiva?
Muitas vezes com restaurações adesivas e minimamente invasivas não colocamos a restauração em contacto a gengiva, ou então, no caso de isso acontecer, observarmos que existe um excelente comportamento dos tecidos moles, devido à melhor adaptação marginal da restauração?
E “last but not least” a grande vantagem de ter a possibilidade de substituir a restauração, em caso de falência da mesma, sem que tenha havido uma catástrofe no remanescente dentário, que é o que sucede, muitas vezes, com coroas totais.
![]() |
![]() |
|---|
João Desport
- Médico (FMUP) com Internato Geral (HGSA)
- Médico Dentista (FMDUP)
- Diploma in Implant Dentistry (Universidade de Gotemburgo / Universidade de Barcelona)
- Post-Graduate in Predictable Aesthetic and Longevity with Bonded Porcelain Restorations (São Francisco-EUA)
- Membro Fundador da SPED (Soc. Port. Estética Dentária) -Membro da Comissão Cientifica da Ordem dos Médicos Dentistas

