Resumo do curso
Numa consulta em que o paciente surge numa situação de urgência, o nosso principal objetivo é identificarmos corretamente o/os dentes responsáveis pelo processo inflamatório e/ou infecioso, aliviar a sintomatologia e a prescrição da medicação adequada ao diagnóstico estabelecido. A experiência do médico dentista é essencial para o estabelecimento de um correto diagnóstico e a elaboração do plano de tratamento adequado.
Para tal, é necessário termos uma conduta assertiva e protocolos de atuação bem estabelecidos que nos permitam, de uma forma rápida, realizar um correto diagnóstico. No entanto, a realização deste diagnóstico nem sempre é fácil principalmente quando o paciente recorre à consulta numa situação de urgência estando muitas vezes em situação de ansiedade. Felizmente, nos últimos anos, tem havido um grande desenvolvimento científico e tecnológico, nomeadamente na área da imagiologia, pondo ao dispor do médico dentista uma série de novas tecnologias que nos permitem realizar um diagnóstico mais preciso.
Pretende-se, neste curso, fazer uma revisão sobre os novos conceitos de diagnóstico, protocolos de atuação mais adequados e medicação necessária ao alívio da sintomatologia dependendo da situação responsável pela consulta de urgência.
Natália Pestana de Vasconcelos
- Médica dentista, licenciada pela Faculdade de Medicina Dentária da Universidade do Porto
- Mestre em Saúde Oral Comunitária pela FMDUP, 2001
- Membro da comissão executiva e docente da Pós-Graduação em Competências Clínicas – FCS-UFP
- Assistente do Mestrado Integrado em Medicina Dentária na FCS, UFP
- Docente das unidades curriculares de Endodontia, Medicina Dentária Conservadora e Clínica Integrada
- Apresentação de comunicações e pósteres em congressos nacionais e internacionais
- Autora de publicações em revistas científicas nacionais e internacionais
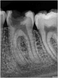
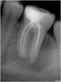
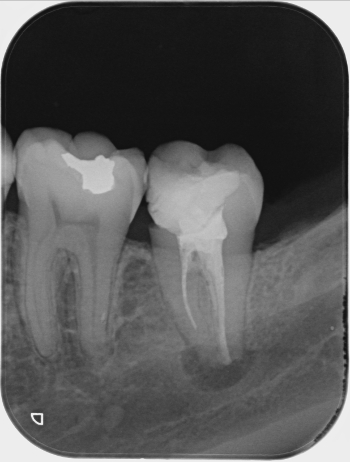
Fotos de casos clínicos


