Os tecidos gengivais em redor de dentes e implantes são uma componente integral da estética dentária e estão intimamente ligados à perceção da aparência social e individual e, como tal, devem ser fortemente ponderados no plano de tratamento para recriar uma harmonia dentofacial.
Múltiplos procedimentos de cirurgia plástica periodontal têm sido desenvolvidos com o objetivo de reconstruir o complexo mucogengival, todavia, a sua eficácia comparativa é ainda motivo de debate, sendo difícil indicar guias de orientação clínica que sejam consensuais sobre o procedimento mais previsível a utilizar.
O autor propõe-se elucidar a aplicabilidade de múltiplas técnicas cirúrgicas em associação com enxertos gengivais e/ou biomateriais na correção de defeitos mucogengivais e na reconstrução de defeitos do rebordo ósseo.
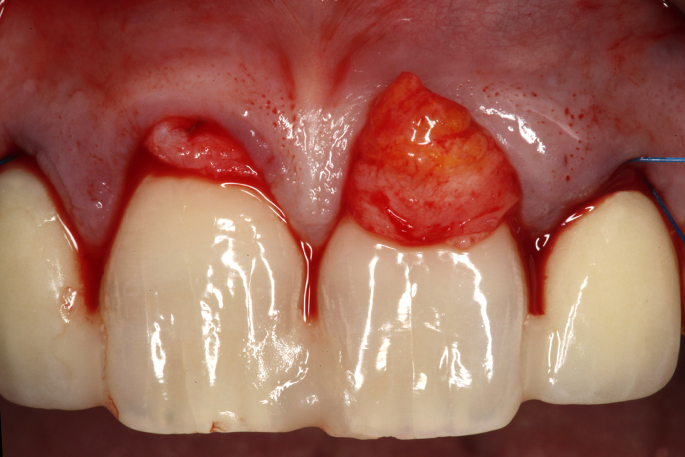
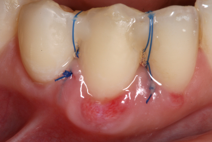
Fotos de casos clínicos


