1 de junho 2026

Streaming

21:00 às 23:00

Zoom

Preço 0

495 vagas disponíveis

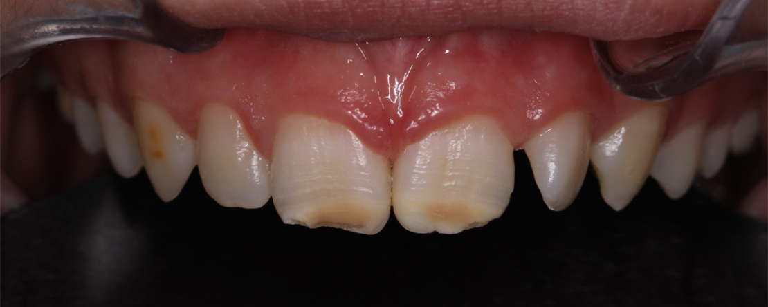
Como abordar uma condição dentária que torna os dentes mais sensíveis, frágeis e propensos à cárie, e que desafia os métodos restauradores tradicionais? Nesta apresentação sobre Hipomineralização Molar-Incisivo (HMI), vamos explorar o papel central do médico dentista na gestão desta patologia. Como diagnosticar precocemente a HMI, garantindo que as crianças recebam os cuidados necessários antes que as complicações se instalem? Quais as estratégias preventivas mais eficazes e como melhorar a qualidade de vida destas crianças?

Para além da prevenção, a HMI envolve desafios restauradores significativos. A fragilidade do esmalte hipomineralizado, a sensibilidade dentária e as dificuldades de adesão, aliadas frequentemente a implicações no controlo comportamental, constituem relevantes barreiras ao tratamento. Que soluções restauradoras tem o odontopediatra ao seu dispor? Desde as resinas compostas e coroas para casos mais severos, até técnicas inovadoras como as resinas infiltrativas que oferecem uma abordagem minimamente invasiva e estética.

Ao longo desta apresentação, procurar-se-á responder a estas questões, sublinhando a importância da intervenção do médico dentista para a saúde oral e bem-estar das crianças afetadas pela HIM.

O objetivo principal desta formação é:

  • Capacitar o médico dentista para uma gestão completa e eficaz da Hipomineralização Molar-Incisivo, abrangendo desde a prevenção ao tratamento estético, visando sempre a melhoria da qualidade de vida do paciente pediátrico.

No final desta formação o formando será capaz de:

  • Identificar e diagnosticar precocemente a Hipomineralização Molar-Incisivo em crianças e adolescentes;
  • Compreender os fatores etiológicos e as características clínicas da HMI, bem como o seu impacto na saúde oral e qualidade de vida dos pacientes;
  • Aplicar estratégias preventivas eficazes para dentes afetados por HMI, incluindo a seleção e utilização de agentes remineralizantes e selantes;
  • Gerir a hipersensibilidade dentária associada à HMI e as implicações no controlo comportamental durante o tratamento;
  • Selecionar e aplicar as opções de tratamento restaurador mais adequadas para diferentes graus de severidade da HMI;
  • Reconhecer a técnica de resinas infiltrativas como uma alternativa estética para intervenção em lesões por HMI, particularmente nos dentes anteriores.
Curso ministrado por

Daniela Santos Soares

  • Mestrado Integrado em Medicina Dentária pela Faculdade de Medicina da Universidade de Coimbra (FMUC) em 2010.
  • Especialista em Odontopediatria, pela Ordem dos Médicos Dentistas desde 2017.
  • Doutoramento em Ciências da Saúde – Medicina Dentária pela FMUC em 2020.
  • Assistente convidada das Unidades Curriculares de UPC3 e UC3 (Odontopediatria) e Clínica Integrada (Odontopediatria) do Mestrado Integrado em Medicina Dentária da FMUC.
Ordem dos Médicos Dentistas
Visão Geral da Privacidade

Este website utiliza cookies para que possamos proporcionar-lhe a melhor experiência de utilização possível. A informação dos cookies é armazenada no seu navegador e desempenha funções como reconhecê-lo quando regressa ao nosso website e ajudar a nossa equipa a compreender quais as secções do website que considera mais interessantes e úteis.