22 de janeiro 2024

Streaming

21:30 às 23:30

Online

A data limite para a inscrição foi atingida.

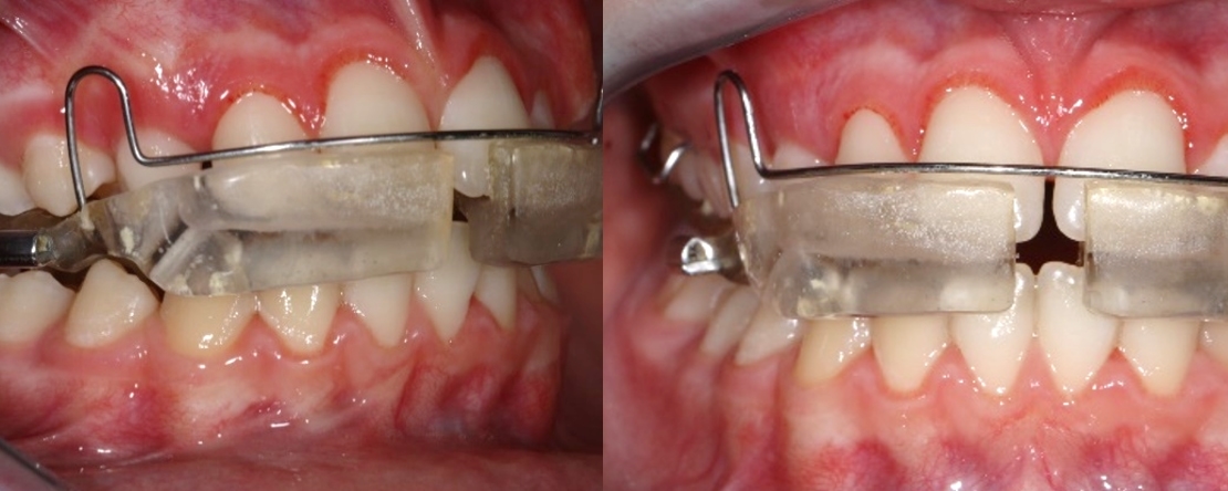
Na ortodontia intercetiva, o conhecimento do crescimento craniofacial e do desenvolvimento da dentição é fundamental para a deteção precoce de anomalias que podem originar problemas dento-maxilares mais acentuados e de maior dificuldade de resolução.

A interceção destas alterações de forma a restabelecer a evolução morfológica e funcional normal pode reduzir o agravamento da má-oclusão, simplificar um possível tratamento ortodôntico corretivo, reequilibrar as funções do sistema estomatognático (respiração, mastigação, deglutição e dicção) e incrementar a auto-estima e o bem estar psico-social da criança.

Serão abordadas as anomalias mais frequentes nos diferentes estadios de desenvolvimento da dentição e as respetivas terapêuticas com a apresentação de casos clínicos ilustrativos.

O objetivo principal desta formação é:

  • Partilhar o conhecimento e experiência clínica na interpretação e interceção de anomalias do crescimento e desenvolvimento dento-facial mais comuns na criança.

No final desta formação o formando será capaz de:

  • Identificar os problemas de crescimento e desenvolvimento dento-facial mais comuns na criança e planear estratégias intercetivas adequadas.

As inscrições neste curso encerram às 17h00 de 22 janeiro.

Curso ministrado por

Duarte Senra

  • Médico Dentista, especialista em Ortodontia pela OMD.
  • Licenciado em Medicina Dentária pela Faculdade de Medicina da Universidade de Coimbra 2000.
  • Pós-Graduado em Ortodontia pela Faculdade de Medicina da Universidade de Coimbra 2001-2004.
  • Pós-Graduado em Ortodontia Lingual pela Universidade Complutense de Madrid 2012-2013.
  • Especialização em Cirurgia Ortognática e Ortodoncia Cirúrgica pela Universidade Internacional da Catalunha 2015.
Ordem dos Médicos Dentistas
Visão Geral da Privacidade

Este website utiliza cookies para que possamos proporcionar-lhe a melhor experiência de utilização possível. A informação dos cookies é armazenada no seu navegador e desempenha funções como reconhecê-lo quando regressa ao nosso website e ajudar a nossa equipa a compreender quais as secções do website que considera mais interessantes e úteis.