20 de janeiro 2025

Streaming

21:30 às 23:30

Online

A data limite para a inscrição foi atingida.

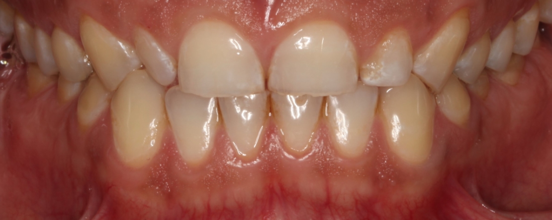
Em pacientes com bruxismo, a atrição e erosão dentária severas frequentemente tornam necessária uma reabilitação estética e funcional de toda a dentição. Estas reabilitações extensas representam um grande desafio para o médico dentista, para o técnico de prótese dentária e, naturalmente, para o próprio paciente, como resultado da perda da estrutura dentária e perda da dimensão vertical de oclusão (DVO).

Nesses casos, é vantajoso considerar o aumento DVO, pois, além de proporcionar espaço adequado para o material restaurador, permite restabelecer as proporções ideais altura/largura da coroa clínica, que frequentemente se encontram invertidas nos pacientes bruxómanos. A reabilitação provisória, o tipo de oclusão e o material restaurador ideal são outros fatores críticos a considerar na reabilitação destes pacientes.

Nesta apresentação serão discutidos alguns mitos e factos relacionados com o aumento da DVO, bem como o protocolo seguido para a reabilitação protética extensa em pacientes com bruxismo, através da documentação de casos clínicos.

O objetivo principal desta formação é:

  • Compreender as implicações do bruxismo na perda de estrutura dentária e na dimensão vertical de oclusão (DVO), reconhecendo os desafios específicos que essa condição representa na reabilitação protética extensa;
  • Identificar os mitos e fatos relacionados ao aumento da DVO em pacientes com bruxismo, desenvolvendo uma base teórica fundamentada para a tomada de decisão clínica.
  • Selecionar os materiais restauradores mais adequados e os tipos de oclusão apropriadas para promover uma reabilitação funcional e estética, considerando as necessidades individuais de cada paciente;
  • Aplicar protocolos clínicos para a reabilitação protética de pacientes com bruxismo, através da observação de casos clínicos documentados que exemplifiquem as várias etapas da reabilitação para alcançar resultados duradouros e satisfatórios.

No final desta formação o formando será capaz de:

  • Reconhecer as consequências do bruxismo na estrutura dentária e na dimensão vertical de oclusão (DVO) e como condicionam a reabilitação protética;
  • Planear reabilitações protéticas em pacientes com bruxismo, considerando fatores como o aumento da DVO, a reabilitação provisória, a escolha do material restaurador e o tipo de oclusão;
  • Implementar protocolos clínicos para reabilitações extensas, aplicando o conhecimento adquirido em casos clínicos, com o objetivo de restaurar a função e a estética de forma eficaz e duradoura;
  • Avaliar os resultados clínicos de reabilitações protéticas em pacientes com bruxismo, identificando oportunidades de ajuste e melhoria contínua para otimizar o sucesso do tratamento.
Curso ministrado por

Salomão Rocha

  • Médico Dentista – Cédula nº 2531 da Ordem dos Médicos Dentistas.
  • Doutorado na especialidade de Prótese Dentária e Oclusão pela Faculdade de Medicina da Universidade de Coimbra em 2015.
  • Especialista em Cirurgia Oral pela Ordem dos Médicos Dentistas.
  • Pós-graduado em Reabilitação Oral Protética pela F.M.U.C. – 2004.
  • Professor Auxiliar da Faculdade de Medicina da U.C.
  • Investigador Principal e Co investigador de vários projetos de investigação.
  • Membro fundador da Sociedade Portuguesa de Estética Dentária.
  • Membro fundador da Sociedade Portuguesa de Medicina Dentária Digital (SPMD2).
  • Membro do Conselho Diretivo da OMD como representante da Região Centro.
Ordem dos Médicos Dentistas
Visão Geral da Privacidade

Este website utiliza cookies para que possamos proporcionar-lhe a melhor experiência de utilização possível. A informação dos cookies é armazenada no seu navegador e desempenha funções como reconhecê-lo quando regressa ao nosso website e ajudar a nossa equipa a compreender quais as secções do website que considera mais interessantes e úteis.