1 de fevereiro 2021

Streaming

21:30 às 23:00

Site OMD

Inscrição na formação encerrada.

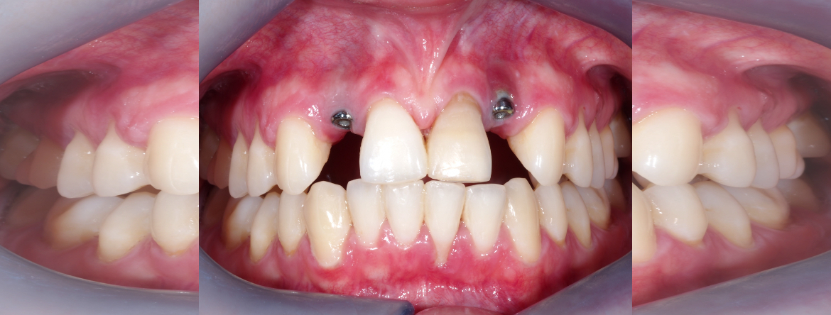
A cada ano que passa, a implantologia torna-se uma especialidade da Medicina Dentária com resultados cada vez mais previsíveis a longo prazo, quer funcionais quer estéticos. Está na base disso uma melhor qualidade  dos materiais , mas sobretudo uma melhor preparação dos médicos  dentistas a trabalharem nesta área.

No entanto, ainda subsistem muitas situações em que somos confrontados com complicações de diferente natureza, sejam elas infeciosas, estéticas, ou mecânicas, que levam ao insucesso do tratamento.

Nesta sua apresentação, o autor irá apresentar várias situações de complicações, tentando mostrar o porquê do aparecimento destas, como poderiam ter sido evitadas e que tratamentos poderão ser propostos para a sua resolução.

Assista à gravação vídeo integral deste curso clínico (acesso reservado a médicos dentistas).

Curso ministrado por

Manuel Neves

  • Médico dentista, licenciado pela Faculdade de Medicina Dentária da Universidade do Porto
  • Pós-graduação em Implantologia e Reabilitação Oral pela Universidade de Bordéus
  • Regente de Prótese Fixa no ISCS- Norte – 1995/2000
  • Diretor do Serviço de Implantologia do ISCS-Norte – 1995/2000
  • Docente convidado do mestrado de Implantologia da FMDU – Porto – 2003/07
  • Fundador e Past President da Sociedade Portuguesa de Estética Dentária – 200/13
  • Diretor do Curso Intensivo de Implantologia ITI do Porto
  • ITI Fellow
Ordem dos Médicos Dentistas
Visão Geral da Privacidade

Este website utiliza cookies para que possamos proporcionar-lhe a melhor experiência de utilização possível. A informação dos cookies é armazenada no seu navegador e desempenha funções como reconhecê-lo quando regressa ao nosso website e ajudar a nossa equipa a compreender quais as secções do website que considera mais interessantes e úteis.