1 de junho 2020

Streaming

21:00 às 23:00

Site da OMD

Inscrição na formação encerrada.

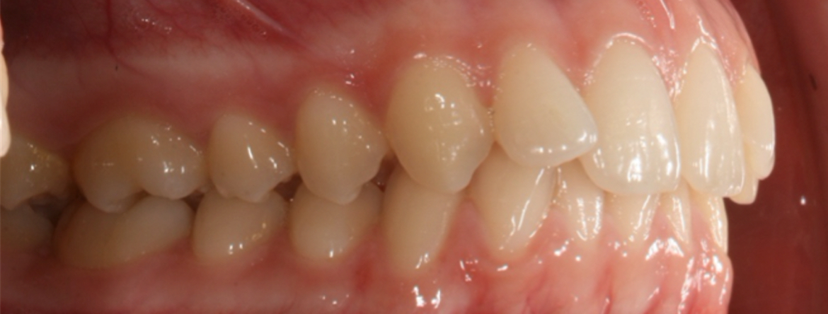
A má oclusão de Classe II é uma anomalia dentoalveolar, por vezes com comprometimento esquelético, que pode levar a alterações estéticas, fonéticas e funcionais.

O presente curso irá abordar a etiologia, diagnóstico e diferentes abordagens terapêuticas para correção desta má oclusão.

Inscrições no curso encerram às 16h00 de 1 de junho de 2020.

Este curso esteve agendado para realização no Porto. Como medida preventiva de propagação da COVID-19, os cursos de março, abril, maio, junho e julho têm transmissão online em direto.

Curso ministrado por

Ana Roseiro

  • Médica dentista, licenciada em Medicina Dentária pela Faculdade de Medicina da Universidade de Coimbra – 2001
  • Pós-graduação em Ortodontia pela Faculdade de Medicina da Universidade de Coimbra
  • Especialista em Ortodontia pela OMD
  • Assistente Convidada de Ortodontia da Faculdade de Medicina da Universidade de Coimbra
Ordem dos Médicos Dentistas
Visão Geral da Privacidade

Este website utiliza cookies para que possamos proporcionar-lhe a melhor experiência de utilização possível. A informação dos cookies é armazenada no seu navegador e desempenha funções como reconhecê-lo quando regressa ao nosso website e ajudar a nossa equipa a compreender quais as secções do website que considera mais interessantes e úteis.