30 de março 2020

Streaming

21:00 às 23:00

Site da OMD

Inscrição na formação encerrada.

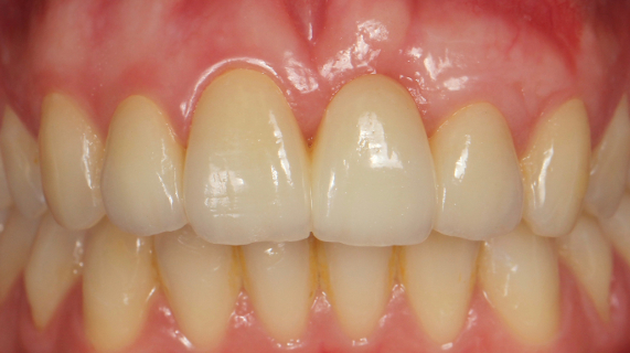
A reabilitação dentária com coroas de revestimento total pode ser efetuada com recurso a diferentes materiais. A seleção do material dependerá de vários fatores clínicos relacionados com o paciente e, particularmente, das propriedades mecânicas/ óticas dos materiais.

Como em qualquer processo de reabilitação oral protética, a tríade médico dentista, técnico de prótese dentária e paciente tem de estar em perfeita sintonia para se conseguir atingir o sucesso clínico.

Nesta apresentação irei refletir a última evidência científica sobre diversos materiais utilizados na reabilitação com coroas de revestimento total, aos quais naturalmente estão associadas diferentes técnicas de cimentação/ adesão, sempre suportado com casos clínicos do nosso quotidiano clínico.

Este curso esteve agendado para realização em Bragança. Como medida preventiva de propagação da COVID-19, os cursos de março, abril, maio, junho e julho têm transmissão online em direto.

Curso ministrado por

André Correia

  • Licenciado em Medicina Dentária pela Faculdade de Medicina Dentária da Universidade do Porto (2003)
  • Pós-graduado em Clínica, Implantologia e Prótese Oral pela Universidade de Barcelona (2004)
  • Internship em Informática Dentária no Center for Dental Informatics, Universidade de Pittsburgh (2007)
  • Doutorado em Medicina Dentária (Área de Prótese Dentária e Oclusão), FMDUP (2009)
  • Professor Auxiliar convidado da FMDUP (2009-2015)
  • Professor Auxiliar do Instituto de Ciências da Saúde, Viseu, Universidade Católica Portuguesa (2009 – atual)
  • Investigador Integrado do Centro de Investigação Interdisciplinar em Saúde (ICS – Viseu)
Ordem dos Médicos Dentistas
Visão Geral da Privacidade

Este website utiliza cookies para que possamos proporcionar-lhe a melhor experiência de utilização possível. A informação dos cookies é armazenada no seu navegador e desempenha funções como reconhecê-lo quando regressa ao nosso website e ajudar a nossa equipa a compreender quais as secções do website que considera mais interessantes e úteis.