27 de janeiro 2020

Setúbal

21:00 às 23:00

Novotel Setúbal

A data limite para a inscrição foi atingida.

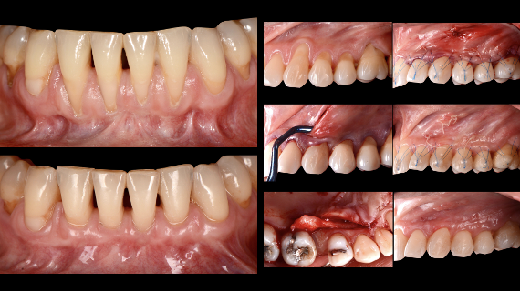
As recessões gengivais são uma das condições periodontais encontradas com maior prevalência na prática clínica diária. Assumem grande relevância, não só do ponto de vista estético, como também pelos problemas orais que normalmente envolvem.

A presente apresentação visa abordar as indicações para o tratamento das recessões gengivais, bem como os critérios que devem suportar a seleção da técnica cirúrgica no tratamento de recessões localizadas e generalizadas.

Curso ministrado por

Gonçalo Caramês

  • Especialista em Periodontologia, pelo American Board of Periodontology
  • Pós-graduado em Periodontologia e Implantes, pela University of Southern California
  • Mestrado em Biologia Craniofacial, pela University of Southern California
  • Médico dentista pela Faculdade de Medicina Dentária da Universidade de Lisboa
  • Prática clínica exclusiva no Instituto de Implantologia, Lisboa
Ordem dos Médicos Dentistas
Visão Geral da Privacidade

Este website utiliza cookies para que possamos proporcionar-lhe a melhor experiência de utilização possível. A informação dos cookies é armazenada no seu navegador e desempenha funções como reconhecê-lo quando regressa ao nosso website e ajudar a nossa equipa a compreender quais as secções do website que considera mais interessantes e úteis.