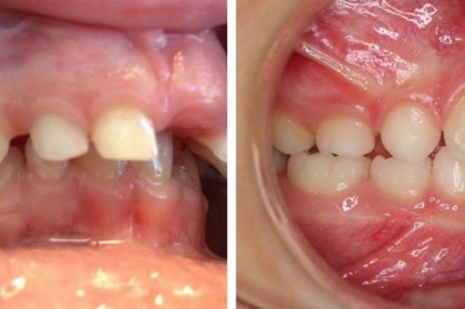
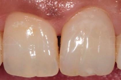
Imitando a natureza com resinas no setor anterior: pontos-chave para o sucesso 06 de abril de 2019 Funchal
Abordagem ao paciente em odontopediatria / ortodontia inteceptiva - moda ou necessidade? 26 de fevereiro de 2019, 21:00h Funchal
Curso de suporte básico de vida / Desfibrilhação automática externa (Funchal) 13 de outubro de 2018 Funchal