A prótese sobre dentes e implantes é uma área fascinante e complexa que vive de constantes desafios. Esta é também a área da medicina dentária onde a técnica e a criatividade mais se juntam para a sua superação.
Hoje, o maior dos desafios é corresponder às expectativas do paciente. Um paciente cada vez mais exigente a quem já venderam a ilusão de que tudo é possível.
Depois de 20 anos dedicados à Reabilitação Oral, tenho a certeza de que quase tudo é possível. Com conhecimento, trabalho e experiência podemos ir ao encontro das mais exigentes expectativas dos nossos pacientes.
A tecnologia CAD-CAM, os novos materiais, a comunicação em rede, mas acima de tudo os protocolos de integração laboratorial e clínica são fatores decisivos para entrar com confiança no exigente futuro da medicina dentária.
Quero contribuir para a formação dos colegas que apostam na qualidade, quero partilhar o que sei e o que não sei, em que acredito e não acredito, o que correu bem e o que não correu, quero que casos clínicos reais possam servir para mostrar a magia que pode nascer da Arte Dentária.
Proponho aos colegas uma viagem pela minha forma de trabalhar e sentir a reabilitação oral. Uma apresentação clínica para quem gosta de fazer bem.
Pedro Couto Viana

- Médico Dentista, Licenciado pela Faculdade de Medicina Dentária da Universidade do Porto, 1993.
- Pós-Graduado em Reabilitação Oral pelo I.S.C.S. – Norte, Porto, Portugal, 1995
- Assistente de Prótese Fixa na Licenciatura de Medicina Dentária do I.S.C.S. – Norte, 1995-1999
- Voluntário no apoio à docência da Disciplina de Prótese Fixa da Faculdade de Medicina Dentária da Universidade do Porto, 2002-2005
- Diretor do Curso Integral de Prótese Fixa ITI (International Team for Implantology) do Centro de Estudos de Medicina Dentária do Amial
- Membro da Comissão Científica do Curso Integrado de Implantologia ITI (International Team for Implantology), Porto, Portugal
- Ex-membro do Conselho Diretivo da Ordem dos Médicos Dentistas
- Autor do Livro “Prótese sobre Implantes”
- Autor de várias conferências Nacionais e Internacionais na área da Prótese Fixa sobre Dentes e Implantes
- ITI (International Team for Implantology) Fellow até 2013
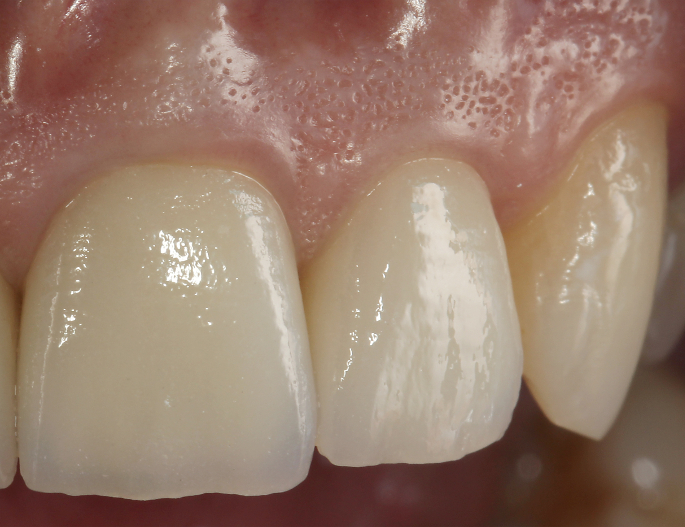
Fotos de casos clínicos

